- Smokkbruk kan være ugunstig, men tommelsutting er enda verre
Smokkbruk fører heldigvis sjelden til overbitt slik tommelsuging kan gjøre, ifølge tannlege.

(SIDE2): Torsdag skrev Side2 om den 5 1/2 år gamle jenta fra Danmark som hadde fått deformerte tenner, utslett rundt munnen, og
manglende evne til å bite tennene helt sammen, på grunn av langvarig smokkbruk.
- Det er viktig å merke seg at vi ikke ønsker å skremme noen, men å opplyse, sa overtannlege ved tannklinikken, Hanne Komann, som la ut dette bilde av jentas munn, for å advare mot langvarig smokkbruk.
- Et vanlig syn
Side2 har vært i kontakt med tannleger i Norge, som forteller at såkalt «smokkbitt» og utslett grunnet smokkbruk er et vanlig syn også her hjemme.
- Det er en kjent sak blant tannleger også i Norge at langvarig smokkbruk påvirker tannstillingen. Heldigvis retter tennene seg som oftest selv når barnet slutter med smokk, sier tannlege og spesialist i kjeveortopedi Nils Jørgen Selliseth ved Apollonia Tannklinikk i Ålesund.

- Når det gjelder utslett rundt munnen så er det også noe vi ser ofte her hos oss, særlig om vinteren. Dette utslettet skyldes at leppene alltid er fuktige under smokken, eller dersom barnet ofte slikker seg på leppene. Dette utslettet kan forebygges med bruk av en god hudkrem, sier han.
Selv om smokkbruk kan være ugunstig, er det en vane som er enda mer uheldig for tennene til barn - nemlig tommelfingersuging.
- Som kjeveortoped behandler jeg tann- og kjevestillingsfeil hos barn og unge, og i mitt fag ser jeg nok oftere tann- og kjevestillingsfeil som skyldes langvarig tommelfingersuging enn langvarig smokkbruk, sier Selliseth.
- Smokkbruk blir jo etter hvert som barnet blir eldre sosialt uakseptabelt, og går i de fleste tilfeller over helt av seg selv i 2-3 års alderen. Problemet med tommelfingersuging er at tommelen har vi alltid med oss, så den kan det bli mye vanskeligere å venne seg av med å bruke.
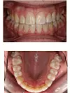
SE BILDER AV KRYSSBITT OG OVERBITT UNDER:

Forstår bekymrede foreldre
Fagsjef i Den norske tannlegeforening, Øyvind Asmyhr, kan godt forstå at foreldre kan være bekymret når de ser at barnet har et såkalt åpent bitt.
- Tannleger generelt får ofte spørsmål om smokkbruk og mange lurer nok på hva som «egentlig gjelder» og om de bør oppsøke tannlege dersom de syns bittet er åpent eller forandret etter smokkbruk.
Tannlegen kan fortelle at den siste store undersøkelsen som foreligger for Norden, er fra 2013 og konkluderer med at barn som bruker smokk frem til 3-års alder sjeldent får tannhelsemessige problemer, men dersom det suges på tommel eller brukes smokk etter 3-års alder kan det føre til avvik.
- Det som kan skje er at smokk eller tommel kan gi et avvik i beinstrukturen i overkjeven. Bruker barnet smokk etter fylte 3 år er det altså en større risiko for å få et avvikende bitt der man for eksempel ikke oppnår kontakt i fronten mellom overkjevens tenner og underkjevens tenner ved sambitt.

- Trenger ikke være bekymret for at tennene står ut
Han legger til at man ikke trenger å være bekymret for at tennene står ut, og at man har et såkalt åpent bitt i melketannsettet.
- Selv om melketennene står rett ut, så er det ikke slik at de permanente tennene vil komme frem på samme måte, sier han.
Han legger til at å suge på tommelen er «verre» enn å suge på en smokk.
- Anbefalingene for å minimere permanent skade er å suge mindre enn seks timer daglig, med lavest intensitet hvis det er vanskelig å slutte etter 3-års alder.
- Det er ikke så ofte omtalt om bruk av smokk i media eller tidsskrifter, men jeg forstår at småbarnsforeldre lurer og det er jo også slik at estetikk og tenner nok er et mer sentralt tema nå enn tidligere. Det er jo selvfølgelig også slik i dag at det meste kan rettes på, men forebygging av avvik er allikevel den enkleste veien å gå, legger han til.
- Karies en større utfordring
Det han derimot ser på som et større tannhelseproblem blant barn er sukker og søting av smokk.
- Noen foreldre søter for eksempel smokken med honning eller annet sukkerholdig for at barnet skal suge på den og da kan det fort bli hull i tennene. Det er jo mye mindre hull i tenner hos barn i dag enn før, men det er ikke slik at det ikke eksisterer, så det er viktig med god tannpleie.
Tannlege Erik Svendsrud, som holder til på Torshov i Oslo, mener at nettopp karies er en større utfordring for barns tannhelse enn smokkbruk.
- Det som fortsatt er verdens vanligste sykdom ifølge Verdens Helseorganisasjon (WHO) er karies! Her er det mye vitenskap som viser at kostholdet og hyppighet av inntak av karbohydrater er avgjørende for utviklingen av karies, og dette gjelder også hos barn.
Han forklarer at den totale sukkermengden også er avgjørende, men at hyppighet er enda viktigere.
- Fluortannkrem morgen og kveld og ikke skylle med vann etterpå er en viktig beskyttelse mot sykdommen. Syreskader er et mindre problem i melketenner. Det kan være et større problem når man får egne tenner og får et høyere inntak av sure leskedrikker i ungdsomsårene, sier han.